| |
| |
| |
| 09-05-2007 |
| Der Wunsch nach mir bestand bei Mama und Papa schon länger, also schenkte Mam Paps zum Geburtstag ihre leere Pillenschachtel. Somit ging es dann langsam für mich los... |
| |
| 26-10-2007 |
Meine Mam war nun schon 4 Wochen über ihre Tage drüber, also drängte Papa auf einen Schwangerschaftstest und siehe da:
es hatte geklappt! Mama ist schwanger. Nun musste das natürlich noch bestätigt werden und wer kann das besser als Mamas Frauenarzt... |
| |
| 05-11-2007 |
Mam war nun bei ihrem Frauenarzt und der machte per Ultraschall das erste Foto von mir:
Ich stellte fest, dass ich viel zu klein bin und schnell wachsen muss, um besser auf den nächsten Bildern erkannt zu werden.
Die Ärztin wog noch Mama und mich und maß den Bauchumfang, demnach wiegen wir zusammen 64,5 kg und Mamas Bauchumfang beträgt 80,5 cm.
Papas Schwester haben wir dann gleich eine SMS geschickt, da wir ja nun zu Ihrer Hochzeit zu dritt kommen. Wünscht die sich doch glatt, das ich 'ne Püppi werde, das werd ich mir aber noch überlegen... |
| |
|
Das Wochenende waren wir zu Hause bei Mamas und Papas Eltern. Mam wollte es nun der Familie erzählen, dass ich mich in ihrem Bauch breitmache. War aber nur die Mama von ihr da, aber die freute sich um so mehr. Ihren Papa haben wir dann auf Arbeit angerufen, der freute sich auch wie ein Schneekönig, dass er Opa wird.
Danach noch bei Papas Eltern und Oma vorbei, die waren irgendwie schon vorbereiteter, wahrscheinlich auch weil Papas Schwester ja schon 2 mal für Nachwuchs gesorgt hatte. Gefreut haben Sie sich aber trotzdem alle riesig. Dann noch Oma und Opa und Cousin von Mama die freudige Nachricht beigebracht und dann schnell wieder nach Hause, Mama und ich wollten endlich wieder Ruhe...
Sonntag abend haben wir noch Mamas Schwester informiert und so wusste es nun erstmal der engste Familienkreis... |
| |
| 24-11-2007 |
Mama klagt die ganzen Tage schon immer rum, sie hat früh immer keinen Appetit und nachmittags/ abends hat sie dann die komischsten Essenwünsche. Die Schuld schieben Mam und Paps natürlich auf mich, dabei ist mir egal, was Mama isst, hauptsache es ist gesund für uns beide und es kommt regelmässig hier bei mir was an!
Zum Glück muss sie sich nicht dauernd übergeben, ich glaube, dass rechnet sie mir hoch an.
Am liebsten liegen wir beide jedoch nach der Arbeit auf der Couch und schlafen schlafen schlafen... |
| |
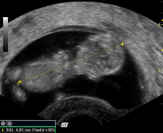
| 06-12-2007 |
Mama und ich waren zur 2ten planmässigen Untersuchung bei der Frauenärztin. Es standen einige Untersuchungen für uns an, die Ärztin will halt sicher gehen, dass es mir gut geht. Also hat sie Mama Blut abgenommen, eine Urinprobe verlangt und einen Abstrich gemacht, ob irgendwelche Bakterien bei mir wohnen...
Dann war wieder Fototermin:
Jetzt hat Mam so einen Mutterpass. Da stehen lauter komische Daten und Eintragungen über mich drin. Leider hat niemand meiner Mami erklärt, was die denn zu bedeuten haben. Zum Glück gibt es ja Papa und das Internet...
Demnach sind wir jetzt in der 12ten Schwangerschaftswoche und ich bin 4,81 cm gross. Man bin ich gewachsen. Mam hör ich immer reden, dass sie sich gar nicht vorstellen kann, dass ich jetzt schon fast 5 cm gross in ihr bin. Wenn die wüsste, dass ich mich noch viel breiter bei ihr machen werde...
Was Mami auch sehr beruhigt ist die Tatsache, das ich allein in ihrem Bauch bin, nix da mit Zwillingen oder dergleichen... Jedenfalls hab ich noch niemand weiter hier im Bauch entdeckt und die Ärztin hat ja auch ziemlich genau geschaut...
Die Ärztin hat nun auch einen Geburtstermin errechnet, demnach müsste ich am 17-06-2008 Mamas Bauch verlassen. Mal sehen... |
| |
| 12-12-2007 |
Mami war mit mir heute zur Auswertung der letzten Untersuchungen. Sie weiß jetzt ihre Blutgruppe und dass wir keine Toxoplasmose haben. Uns geht es richtig gut und ich bin sehr beruhigt darüber. Diese Tatsache war auch gleich auf dem Ultraschallbild zu sehen. Mami und die Ärztin waren der Meinung, ich liege wie in einer Hängematte.
Hab ich etwa das Faulenzer-Gen von meinem Papa? Gewachsen bin ich auch schon wieder, bin jetzt 5,3 cm gross. Trotzdem ist die Ärztin der Meinung, Mami wäre jetzt erst in der 12+1 SSW. Somit korrigierte die Ärztin den Geburtstermin zum 24-06-2008. Na und, komm ich halt 'ne Woche später... |
| |
| 04-01-2008 |
Mami war gestern mit mir wieder beim Arzt, denn wir wollen für eine Woche in den Winterurlaub. Also wollte die Ärztin und wir wissen, ob alles okay mit Mama und mir ist. Mein Herzschlag lag bei 153 Schläge die Minute, das war doppelt so schnell wie Mamas Herz. Laut den Untersuchungsergebnissen gedeihe ich prächtig - gut so!
Weihnachten und Silvester haben wir auch gut verlebt, alle freuen sich zu sehen, dass ich Mamas Bauch langsam nach außen verbeule. Mama hat zum jetzigen Zeitpunkt 1,5 kg zugenommen.
Jetzt freuen wir uns erstmal auf Österreich, schade, dass Mami abgeraten wurde, mit mir Ski zu fahren. Fährt der Papa halt alleine Ski und wir 2 erholen uns auf der Hütte.
Am 31-01-2008 haben wir den nächsten Termin bei der Frauenärztin, da darf der Papa auch mit, dann versuchen nämlich alle drei per Ultraschall festzustellen, ob ich nun männlich oder weiblich bin. Ich weiß es ja schon, aber ich verrat es niemandem. |
| |
| 13-02-2008 |
Heute hat Mami Geburtstag! Happy Birthday Mama!
Vorgestern waren Mama und Papa mit mir zur Feindiagnostik. Da haben sie mich dann zum ersten Mal 4-dimensional gesehen.
Die Ärztin meinte, ich sei ein hübsches Baby - danke! Es ist alles heile an mir und ich entwickle mich prächtig.
Mama und Papa haben nun auch sehen können, was ich werde. Haben die sich gefreut. Sie wollen das aber eigentlich niemanden erzählen, was viele aus der Verwandschaft und dem Freundeskreis nicht verstehen wollen. Also sagen wir ab jezt - wir wissen es nicht, was ich werde und Mam und Paps wollen sich überraschen lassen ;)
Ich bin mittlerweile stolze 23 cm groß und wiege 350 g. Mama bin ich auch noch nicht zu schwer, sie hat noch keine Probleme mit dem Bauch, den ich forme... Mamis Bauch hat zur Zeit einen Umfang von 96 cm und sie wiegt stolze 4 kg mehr als vor der Schwangerschaft.
Mama spürt mich mittlerweile auch jeden Tag mehrmals, mach mich ja auch oft genug mit Rollen, Verrenkungen und Schluckaufs bemerkbar. Papa hör ich jetzt oft an Mamis Bauch mit mir reden und knutschen, ich mach mich dann auch wie wild bemerkbar, leider spürt er das noch nicht so wie die Mama. Da ich grad müde werd, zum Schluß für heute für alle Neugierigen noch ein Bild eines meiner Füße.
|
| |
| 18-03-2008 |
So, mal wieder Neuigkeiten von mir. Hab mitbekommen, dass Mama und Papa bei Papas Schwester waren und schon die ersten Babysachen bekommen haben. Von Kinderbett und Kinderwagen war jetzt auch schon des öfteren die Rede. Und ich soll wohl ein eigenes Zimmer bekommen - na wie geil ist das denn!! Scheinbar freuen sich da 2 wie wild auf mich ;)
Sind ja nur noch 97 Tage bis zum meinem errechneten Geburtstermin...
Mami hat ihren Bauchumfang gemessen, mittlerweile beutel ich ihn schon auf stolze 101 cm aus, bin ja selbst auch schon 30 cm gross.
Papa quatscht immernoch wie wild über Mamas Bauch mit mir, ich geb Zeichen zurück und er merkt sie nun auch endlich - wieder einen Menschen glücklich gemacht...
Für alle Neugierigen hier Mamas aktueller Bauch:
Nächste Woche gehts wieder zum Arzt, Mama muss einen Blutzuckertest machen... |
| |
| 26-03-2008 |
Mami ist gerade vom Blutzuckertest zurück. Sie musste eine hochkonzentrierte Zuckerlösung trinken, hat uns beiden nicht geschmeckt. Wenigstens hat es seinen Zweck erfüllt und es wurde festgestellt, dass Mamis Blutwerte okay sind.
Auch sonst geht es uns gut, Mami hat nicht mehr zugenommen. Mein Herzschlag liegt im Moment bei 142 Schlägen pro Minute - also alles im Lot bei mir.
Nur noch 3 Monate... =) |
| |
| 10-04-2008 |
Paps und Mam und somit auch ich haben seit Montag für eine Woche Urlaub. So wie ich mitbekommen habe, haben die beiden in den letzten 3 Tagen mein zukünftiges Zimmer fertig gemacht - tolle Sache so ein eigenes Zimmer.
Heute fahren wir 3 in die Therme nach Bad-Saarow und übernachten dort eine Nacht, bevor es morgen dann zu Uromas 80. Geburtstag weiter geht. In der Therme wollen sich Mam und Dad nochmal so richtig verwöhnen lassen, denn wenn ich dann da bin, ist die Zeit für sowas knapper.
Mami hat die Woche auch mit unserer Hebamme telefoniert, denn Anfang Mai soll ja dann auch unser Geburtsvorbereitungskurs losgehen. Das geht wohl soweit alles klar. Tja, ich merke, die beiden bereiten sich gewissenhaft auf mich vor ;) Hab euch jetzt schon lieb (ich hoffe , Mami versteht meine Tritte und Ellenbogenchecks richtig?!) |
| |
| 04-05-2008 |
Langsam wird es spannend. Rein rechnerisch sind es nur noch 50 Tage, aber es wird hier drinnen von Tag zu Tag enger. Ich bin am 29.04. mit 43 cm gemessen worden und wog in etwa 1800 g - alles bestens also. Pro Woche nehm ich nun wohl ca. 200 g zu.
Mamis Bauchumfang beträgt mittlerweile 105 cm und zusammen bringen wir ein Gewicht von 75 kg auf die Waage. Wir müssen jetzt auch 14-tägig zu Mamis Arzt, morgen ist es wieder soweit. Dann wird auch die Wehentätigkeit geprüft und mein Herzschlag wieder gemessen...
Donnerstag gehen Mam und Paps dann das erste Mal zum Geburtsvorbereitungskurs - gut so...
Beim Standesamt waren die beiden auch die Tage, da hat Papa erklärt, das er der Vater von mir ist und ich seinen Nachnamen bekommen soll. Werd demnächst mal mit Mama klären, dass sie dann auch den Namen von Papa bekommt ;)
Mami muss jetzt nur noch eine Woche arbeiten, dann geht sie in Mutterschutz.
Und zu guter Letzt mal wieder ein Bild von Mami und mir, ich kann mich nur noch bedingt verstecken ;)
|
| |
| 22-05-2008 |
Mami ist nun seit 2 Wochen im Mutterschutz. So hat sie nun noch mehr Zeit, mich zu geniessen.
Unser Frauenarzt hatte am Montag bereits festgestellt, dass ich mich schon in Mamis Becken gesenkt habe. 30 Tage nur noch...
Wir waren uns mittlerweile auch mit Papi zusammen das Krankenhaus anschauen, wo ich zur Welt kommen soll. Dort machen die beiden auch ihren Geburtsvorbereitungskurs. Sind alle nett dort und so haben wir keine Bedenken, dass noch irgendetwas schief gehen könnte.
Doch dann gestern was unerwartetes.
Ich hoffe, ich bin nicht schuld, aber Mami bekam doch glatt Zahnschmerzen. Ja und welcher Zahn muckte? Richtig, einer der Weisheitszähne, die schon längst raus sollten. Also ab zum Zahnarzt des Vertrauens und Schmerzen lindern lassen. Zieht die doch glatt den Zahn! Mami hatte die ganze Zeit mehr Angst um mich als das irgendwas wehtun könnte. Aber wir haben beide das Dilemma gut überstanden, keine Schmerzen mehr, aber auch nur noch ein Weisheitszahn, der dann bei Gelegenheit raus muss ;) |
| |
| 01-06-2008 |
Mami und ich haben wieder eine aufregende Woche hinter uns.
Mittwoch waren wir mit Papi im Krankenhaus und hatten ein Vorgespräch mit der Ärztin wegen der Geburt. So sind wir nun eigentlich gut gerüstet.
Donnerstag war unsere Hebamme bei uns zu Hause und Mami bekam Akupunktur, um Muskeln zu entspannen, Schmerzen zu lindern und die Geburt zu verkürzen. Für Mami war das so angenehm, dass Hebamme Silke nächsten Freitag gleich nochmal kommen darf.
Donnerstag nachmittag waren wir dann noch bei unserer Frauenärztin und die stellte fest, dass ich mittlerweile sehr tief in Mamas Becken liege und schon ordentlich auf den Muttermund drücke. Da die Ärztin jetzt 3 Wochen Urlaub hat, denkt sie, dass sie uns nicht mehr vor der Geburt sieht. Na mal sehen...
Donnerstag abend war dann auch unser letzter Geburtsvorbereitungskurs, somit dürften Mami und Papi gut vorbereitet auf mich sein. Ich freu mich schon auf sie.
aktueller Bauchumfang: 108 cm
aktuelles Gewicht: 76 kg |
| |
| 15-06-2008 |
Immernoch nichts neues zu vermelden - hab ja noch 9 Tage bis zum errechneten Termin und sehe im Moment auch keinen Grund zeitiger rauszukommen.
Gestern war irgendwie alles beklemmend eng, konnte mich nicht richtig aus Mamas Bauch strecken. Hab nur gehört, wie beide was von Gipsbinden und dergleichen redeten. Haben die doch nicht etwa ein Gipsabdruck von Mamis Bauch gemacht?! Na das werd ich mir dann mal bei Gelegenheit anschauen (und Ihr vielleicht auch).
Sollte ich Donnerstag immernoch in Mamas Bauch schlummern, sehen wir unsere Frauenärztin doch nochmal vor der Geburt. Na die wird Augen machen...
Mamis Bauch ist ja meistens schön weich, so dass ich mich auch mal strecken kann und man von außen Beulen sieht. Aber es kommt jetzt auch schon öfter vor, dass Mamis Bauch ganz hart wird. Angeblich übt da die Gebärmutter Wehen. Ob das erste Anzeichen sind, dass ich raus muß?? |
| |